
Click the link below the picture
.
A school-aged child in Los Angeles County has died from a rare but always fatal complication from a measles infection they acquired when they were an infant who was too young to be vaccinated. The first dose of the vaccine is typically not administered until one year of age. Experts say the death underscores the need for high levels of vaccination in a population to protect the most vulnerable against the disease, as well as from side effects that can occur long after the initial illness has passed.
“This case is a painful reminder of how dangerous measles can be, especially for our most vulnerable community members,” said Los Angeles County Health Officer Muntu Davis in a recent statement.
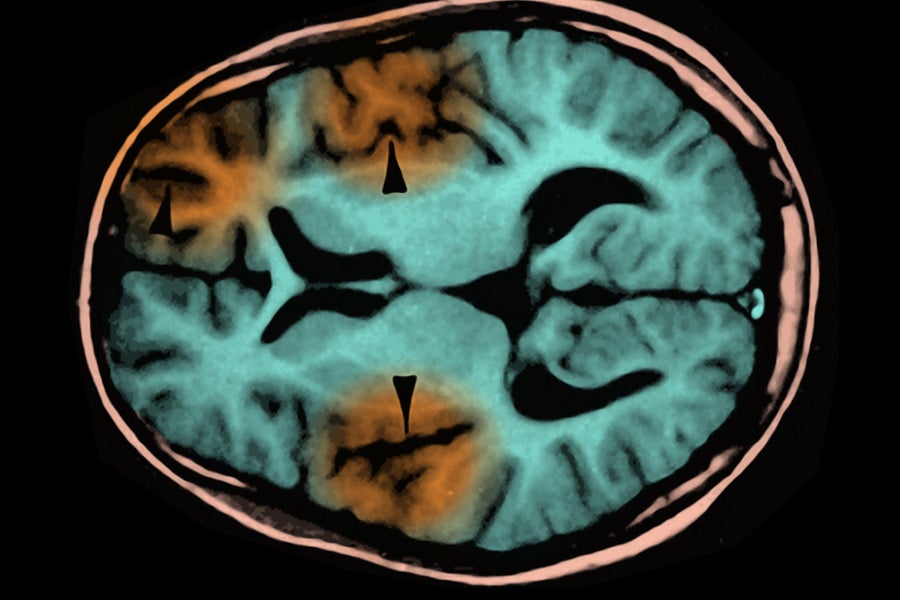
The child who died suffered from subacute sclerosing panencephalitis (SSPE), a progressive brain disorder that usually develops two to 10 years after a measles infection. The measles virus appears to mutate into a form that avoids detection by the immune system, allowing it to hide in the brain and eventually destroy neurons.
“It’s just a virus that goes unchecked and destroys brain tissue, and we have no therapy for it,” said Walter Orenstein, an epidemiologist and professor emeritus at Emory University, to Scientific American earlier this year.
People with SSPE experience a gradual, worsening loss of neurological function and usually die within one to three years after diagnosis, according to the Los Angeles County Health Department. The disorder affects only about one in every 10,000 people who contract measles. But the risk may be as high as about one in 600 for those who are infected as infants.
“There is no treatment for this. Children who suffer from this will always die,” said Paul Offit, director of the Vaccine Education Center and an attending physician in the Division of Infectious Diseases at Children’s Hospital of Philadelphia, in a previous interview with Scientific American. Offit, who had measles himself in the 1950s, has seen five or 10 cases of SSPE in his career.
SSPE is one of several side effects of measles that go beyond the coughing, runny nose, and characteristic rash of the original infection. Measles can also cause encephalitis, a faster-occurring brain inflammation, in one in every 1,000 people who are infected because the virus causes the immune system to attack a protein produced by certain brain cells. This inflammation kills about one in five people who develop it.
Measles also causes “immune amnesia”: the virus seems to attack the immune system’s B cells, which remember previous pathogens the body has been exposed to, resulting in reduced immunity. There is some evidence this effect can last for a couple of years, making those who get measles more susceptible to other infectious diseases.
These side effects are of particular concern because the measles virus is highly contagious, an order of magnitude more than seasonal influenza. With measles, viral particles emitted by coughing or sneezing can linger in a room for hours after the infected person has left. One infected person infects 15 more people on average.
.

An MRI scan showing subacute sclerosing panencephalitis, a complication of measles infection. Science Source
.
.
Click the link below for the complete article:
.
__________________________________________
Leave a comment