
Click the link below the picture
.
For decades, clinical algorithms that were used to diagnose disease have included race as a variable. Over the past several years, growing recognition that this may lead to diagnoses being entirely missed or undertreated in certain racial groups has led some doctors and researchers to push to remove race from these algorithms. But change has come slowly to the medical system, in part because clinicians don’t fully know what the ramifications of changing algorithms that are so central to their work will be.
A new analysis, published in the New England Journal of Medicine, estimated the impacts of removing race from spirometry, a test used to measure lung function. Historically, physicians in the U.S. expected Black people to have lower lung function, so algorithms that analyze spirometer data have corrected for this by using a different scale. The new study found that switching to a race-neutral equation would result in classifying the lung disease of nearly half a million Black Americans as more severe and increasing disability payments to Black veterans by more than $1 billion.
There are tradeoffs with changing such an important algorithm, but overall the new study “provides good support for the change from race-adjusted to global standards for pulmonary function test interpretation,” says Neil Schluger, a pulmonologist at New York Medical College, who was not involved with the research.
The spirometer is a device that measures the amount of air a person can blow in one breath—a gauge of how well that person’s lungs are functioning. The device has a long history of being used to legitimize racist views of lung function, says Lundy Braun, a historian at Brown University, who has written a book on the subject. Thomas Jefferson once speculated that Black people had different lung function than white people. So when spirometers—which were developed in Europe—were first used in the U.S., physicians here assumed their measurements differed by race, Braun says.
The idea persisted to the present day. But there’s been a growing recognition that “putting race into an algorithm is a flawed concept in that it is assuming something biologic about a person, even though we know that race is not representative of biological differences,” says Sidra Bonner, a general surgeon at the University of Michigan.
.

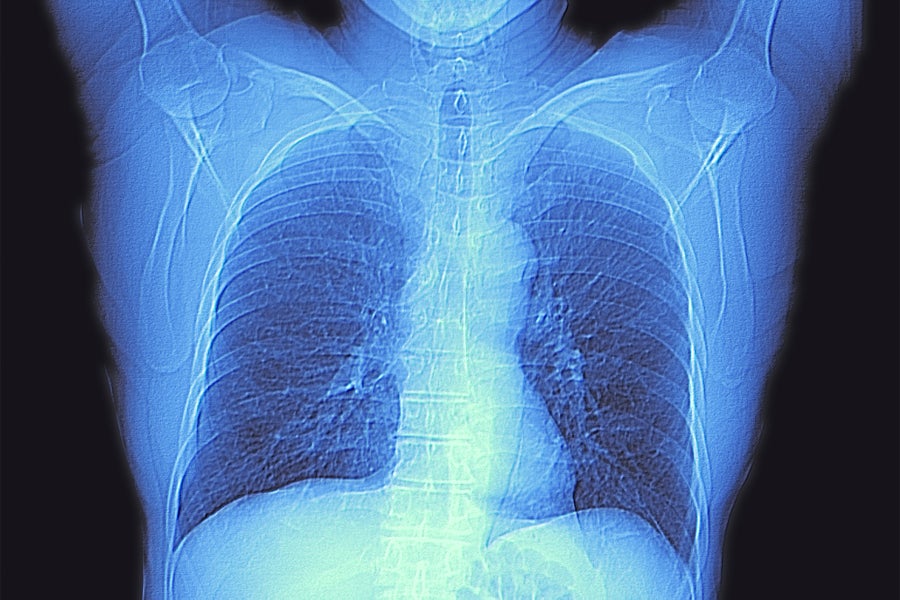
In addition to CT scans, pulmonary function tests are often used to diagnose lung disease. Alfred Pasieka/Science Photo Library/Getty Images
.
.
Click the link below for the article:
.
__________________________________________
Leave a comment