
Click link below picture
.
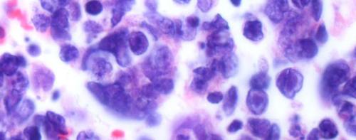
On Tuesday, the Food and Drug Administration approved a drug that uses the herpes simplex virus to sneak into — and annihilate — skin cancer cells.
Studies conducted by manufacturer Amgen Inc. show the drug, Imlygic, shrunk melanomas in about “about 16% of patients injected with the drug … compared with 2% of patients who took more conventional cancer drugs,” CBS News reports. It has no effect on skin cancer that has spread to other regions of the body.
Amgen Inc. told CBS News one course with the drug would cost approximately $65,000.
Imlygic piggybacks into skin-cancer cells using a modified herpes virus and then replicates rapidly, destroying the cells from within, at the same time triggering the body’s immune system into a heightened response against skin tumors.
.
Skin Cancer
.
.
Click link below for article:
.
__________________________________________
Leave a comment